MS’te tanı ve tedavi yaklaşımları
Tanı ve Tedaviler
Multipl sklerozda tanı, klinik bulguların zaman ve mekândaki yayılımını göstermeye; tedavi ise hem atakları azaltmaya hem de uzun dönem engelliliği sınırlamaya yöneliktir. Bu sayfada manyetik rezonans görüntüleme, tanı ölçütleri ve güncel tedavi yaklaşımlarının temel başlıklarına yer verilmektedir.
Manyetik Rezonans Görüntüleme (MRG)
Multipl sklerozda hastalıkla ilişkili belirti ve bulgular değişkendir ve beyin MRG’sinde saptanan ak madde anormallikleri çoğu zaman MS’e özgül değildir. Bazı hastalarda diffüz, büyük ve atipik lezyonlar görülebilir. MS için patognomonik bir paraklinik test yoktur; birçok durum MS’i klinik ya da paraklinik olarak taklit edebilir. Bu nedenle tüm tanı ölçütlerinde “başka bir durumla açıklanamama” kuralı yer alır (Poser, McDonald 2001, 2005, 2010). Kısacası MS, başka nedenlerin dışlandığı, zaman ve mekânda yayılım gösteren bir merkezi sinir sistemi hastalığını ifade eder.
MS’te MRG; tanıdan doğal seyrin izlenmesine, patogenez araştırmalarından prognoz öngörüsüne, korelasyon çalışmalarından ilaç etkinliğinin ve bilişsel işlevlerin değerlendirilmesine kadar geniş bir yelpazede kullanılmaktadır.
MS’te MRG’nin başlıca kullanım alanları
Konvansiyonel MRG ile:
- Ak maddenin fokal demyelinizasyonunu,
- Kan–beyin bariyeri (KBB) bozukluğunu,
- Lezyon içindeki doku kaybını
Yeni MRG teknikleri ile:
- Beyin ve omurilik atrofisinin büyüklüğü,
- Lezyon metabolizması (manyetik rezonans spektroskopi – MRS),
- Dokunun mikro yapısı (manyetizasyon transfer – MT, diffüzyon MRG),
- Beynin kompanzasyon süreçleri (fonksiyonel MRG – fMRG)
Konvansiyonel MRG sekansları
MS değerlendirmesinde en sık kullanılan konvansiyonel sekanslar:
- T2 ağırlıklı
- FLAIR
- PD
- T1 ağırlıklı
- T1 + gadolinyum (T1+Gd)
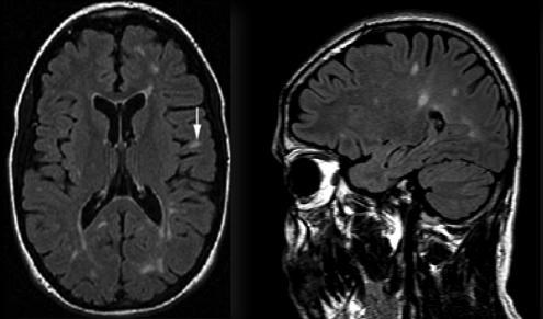
MS lezyonlarının genel özellikleri
MS lezyonlarının önemli bir bölümü küçüktür; ancak kimi zaman çok büyük lezyonlar da görülebilir. Lezyonlar genellikle oval ya da yuvarlak şekillidir ve myelin içeren merkezi sinir sistemi alanlarının tamamında yerleşebilir:
- Periventriküler alanlar ve ventrikül kenarı,
- Korpus kallozum,
- Beyin sapı ve serebellum (özellikle serebellar pedinküller),
- Jukstakortikal alanlar,
- Spinal kord.
Daha seyrek olarak talamus ve bazal gangliyonlar tutulabilir. Serebral korteks, uzun yıllar lezyonların nadir görüldüğü bölge olarak kabul edilirken, gelişmiş MRG teknikleriyle kortikal lezyonların düşündüğümüzden daha sık olduğu gösterilmiştir.
T2 lezyonları ve “kirli ak madde”
MS’te tipik lezyonlar geleneksel olarak T2 ağırlıklı sekansta saptanır. Ancak T2 lezyonları özgül değildir. MS için tipik T2 lezyonları 2 mm’den büyük, ovoid veya yuvarlak odaklardır. T2 hiperintens görüntü şu durumlarda ortaya çıkabilir:
- Enflamasyon,
- Demyelinizasyon,
- Gliozis,
- Ödem,
- Aksonal kayıp.
Konvansiyonel T2 lezyonları, aynı zamanda diffüz, büyük ve düzensiz hiperintens alanları da kapsar; bu görünüme “kirli ak madde” adı verilir. Bunlar sınırları belirsiz, özellikle oksipital horn çevresine yerleşen geniş lezyonlardır ve RRMS hastalarının yaklaşık %17’sinde tanımlanır.
Birçok T2 lezyonu herhangi bir klinik bulgu oluşturmadan ortaya çıkabilir; buna karşın klinik olayların çoğunda yeni lezyon gelişimi izlenir. Ortalama bir MS hastası yılda 4–5 yeni T2 lezyonu geliştirebilir. T2 lezyon yükü ile klinik tutulum arasındaki ilişki genellikle zayıftır; bu alanlar “klinik olarak sessiz” olabilir. Ancak özellikle klinik izole sendrom (KİS) olgularında T2 lezyon sayısı prognoz hakkında önemli bilgiler verir:
- Normal MRG’si olan KİS olgularında 10 yılda MS’e dönüşüm yaklaşık %11,
- İki veya daha fazla T2 lezyonu olanlarda ise bu oran %90’a kadar çıkmaktadır.
Tipik lezyon lokalizasyonları
- Korpus kallozum lezyonları
- Periventriküler lezyonlar
- Beyin sapı / infratentoriyal lezyonlar
- Jukstakortikal lezyonlar
- Spinal kord lezyonları
Bu bölgelerdeki örnek lezyon alanları, MRG üzerinde İMG – MRG-1’den İMG – MRG-6’ya kadar olan görsellerde gösterilmiştir.
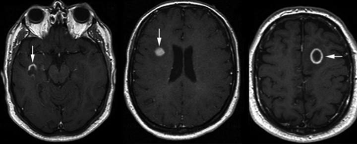
Gadolinyum tutulumu ve aktif lezyonlar
Gadolinyumlu (Gd’lu) MRG, MS’te aktif lezyon saptamada oldukça duyarlıdır ve kan–beyin bariyeri yıkılımını gösterir. Gd tutulumu genellikle 2–6 hafta sürer; seyrek olarak 3–4 aya kadar uzayabilir. Gd tutan lezyonların yaklaşık %80’i T1 ağırlıklı görüntülerde hipointens izlenir; bunların %40’ından daha azı kalıcı “kara delik” haline gelir.
T1 hipointens lezyon, yalnızca kalıcı doku kaybını değil, ödem veya parsiyel remyelinizasyon sürecini de yansıtabilir. Gd tutulumu açısından en sık görülen paternler:
- Nodüler tutulum (%68),
- Halka şeklinde tutulum (%23),
- Diğer paternler (%9).
Halkasal tutulum, lezyonun merkezinde parsiyel remyelinizasyonun olduğu veya KBB yıkılımının kısmen onarıldığı; çevresinde ise inflamasyonun sürdüğü durumlarda görülür. Nodüler tutulum gösteren lezyonlar zaman içinde küçülme eğilimindedir. Bu paternlerin hiçbiri tek başına MS’e özgü değildir; tek istisna, “açık halka” görünümüdür. Açık halka tutulumu, MS lezyonunu bazı tümör ve enfeksiyonlardan ayırmaya yardımcı olabilir; açık kısım tipik olarak gri maddeye dönüktür.
Aktif lezyonların büyük kısmı klinik olarak sessizdir ve Gd tutulumu uzun dönem engelliliğin doğrudan göstergesi değildir. Buna karşın, özellikle hastalığın erken döneminde aktif lezyonların gösterilebilmesi, erken tanı açısından önemli avantaj sağlar. Yüksek doz steroid tedavisi Gd tutulumunu baskılayabilir; yüksek doz Gd verilmesi ise aktif lezyon saptama duyarlılığını artırır.
Spinal kord lezyonları
Spinal kord lezyonları, beyin MRG’sinde görülen lezyonların yaklaşık onda biri kadar sıklıkta olsa da, klinik açıdan son derece önemlidir. MS’li hastalarda spinal MRG incelemesi yapıldığında olguların yaklaşık %75’inde anormallik saptanır.
Kranial MRG’nin normal olduğu, ancak spinal MRG’de lezyon saptanan hastalarda MS tanısı daha dikkatle değerlendirilmelidir (bu oran %8–20 arasındadır). MS’i düşündüren spinal MRG özellikleri özetle şöyledir:
- Lezyon uzunluğu < 2 vertebra korpus segmenti,
- Sagital kesitte kord alanının %50’sinden küçük tutulum,
- Orta servikal ve torasik seviyelerde, periferal yerleşim,
- Asimetrik, multipl ve saçılmış lezyon dağılımı,
- Lateral / dorsal tutulumun anterior tutulumdan daha sık olması,
- Akut lezyonlarda ödem bulguları,
- Uzun dönemde fokal veya diffüz spinal kord atrofisi.
Bu özellikler, İMG – MRG-8 ve İMG – MRG-9 görsellerinde örneklenmiştir.
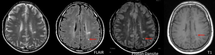
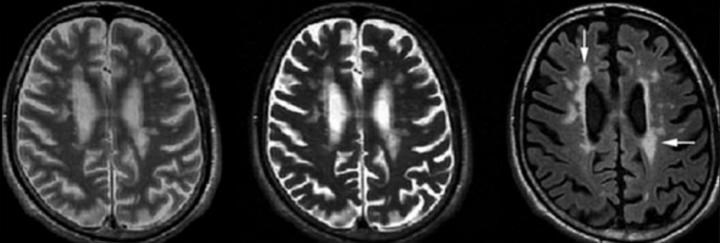
İMG – MRG-1: Tipik T2 lezyonları.
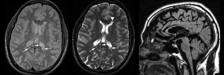
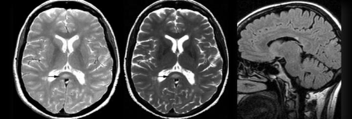
İMG – MRG-2: Korpus kallozum ve periventriküler lezyonlar.
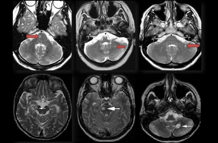
İMG – MRG-3: Beyin sapı / infratentoriyal yerleşim.
İMG – MRG-4: Periventriküler yerleşimli lezyonlar.
İMG – MRG-5: “Kirli ak madde” görünümü.
İMG – MRG-6: Jukstakortikal lezyonlar.
İMG – MRG-7: Gd tutan aktif lezyon.
İMG – MRG-8: Spinal kord lezyonları.
İMG – MRG-9: Spinal kord lezyonları.
MS’te Yorgunluk: Nedir, Nasıl Baş Edilir?
Hastalık ne kadar iyi gidiyor olursa olsun MS’li birçok kişi benzer cümleler kurar: “Tüm ağır ev işlerini yapabiliyorum ama çok yorgunum”, “Yaz sıcakları tüm enerjimi alıyor”, “Eskisi gibi evimi temiz tutamıyorum”, “Evdeki sıradan işler bile beni çok yoruyor, çocuklar benden uzaklaştığımı düşünüyor”. Yani yorgunluk, MS’te hastalık şiddetinden bağımsız olarak yaşamı olumsuz etkileyen temel belirtilerden biridir.
Yorgunluk MS’te karmaşık bir konudur ve birkaç boyutu vardır:
- “MS’te yorgunluk” her zaman “MS’e bağlı yorgunluk” anlamına gelmez; başka birçok nedeni olabilir.
- Yorgunluğun MS’e bağlı olduğu anlaşıldığında, altta yatan nedenin saptanması düzeltilmesini sağlayabilir.
- Yorgunluk her zaman yalnızca “dinlenerek” giderilemez; yanlış dinlenme stratejileri yorgunluğu artırabilir.
- Temel yaklaşım, günlük aktiviteleri sürdürebilmek için toplam enerjinin gün içine uygun şekilde yayılmasıdır.
MS hastalarının %75–95’inde yorgunluk vardır; %50–60’ı bunu en çok rahatsız oldukları sorunlardan biri olarak tanımlar. Ayrıca yorgunluk, MS’liler arasında iş gücü kaybının ve işsizlik nedenlerinin başında gelir. Enerji eksikliği düzenli aktiviteleri veya yaşam kalitesini etkiliyorsa mutlaka hekimle görüşülmelidir. Yorgunluk tedavi edilebilir bir nedene bağlı olabilir ve MS ile ilişkili olsa bile azaltılabilir.
Yorgunluk günlük aktiviteleri sınırlayabilir.
Doğru planlama enerjinin güne yayılmasını sağlar.
MS ile ilişkili yorgunluk nedir?
Yorgunluk; fiziksel ya da zihinsel enerjinin, çoğu zaman da her ikisinin birlikte azalmasıdır. Her insanın enerjisinin düştüğü günler olabilir; ancak MS’e bağlı yorgunluk farklıdır ve tanımlaması her zaman kolay değildir.
MS’e bağlı yorgunluğu tanımlamadan önce, şüphelenilen diğer nedenler mutlaka araştırılmalıdır. Eğer bir MS hastası “Yorgunluk, yaşam kalitemi veya günlük aktivitelerimi engelliyor” diyorsa, bunu hekiminin bilmesi gerekir.
Yorgunluk türleri
Yorgunluğun iki temel tipi vardır; her ikisi de MS ile ilgili olabilir ya da olmayabilir:
- Kronik kalıcı yorgunluk: Günün belirli bölümlerinde, 6 haftadan daha uzun süren, hareketi sınırlayan halsizlik ve bitkinlik.
- Yeni gelişen (akut) yorgunluk: İlk kez ortaya çıkan ya da son 6 hafta içinde belirgin şekilde kötüleşen, hareketi sınırlayan halsizlik ve aşırı bitkinlik. Bu durum, diğer MS belirtilerinin de kötüleşeceğinin erken uyarısı olabilir.
Hasta, son birkaç haftadaki enerji düzeyini takvim üzerinde not ederek izleyebilir ve kendisine uyan yorgunluk tipini belirleyip doktoru ile paylaşabilir. Her iki yorgunluk türünün de araştırılması ve tedavi edilmesi gereken nedenleri vardır.
Yorgunluk nedenleri
MS’te yorgunluk her zaman doğrudan MS’in kendisinden kaynaklanmaz. MS dışı olası nedenler:
- Diğer tıbbi durumlar: Basit bir enfeksiyon bile enerjiyi ciddi şekilde düşürebilir.
- Hava sıcaklığı ve nem: Özellikle sıcak ve bunaltıcı havalar MS’lilerin kendini çok daha kötü hissetmesine yol açar.
- İlaç tedavileri: Bazı ilaçların yan etkisi yorgunluktur; MS dışı ilaçlar da hekime bildirilmelidir.
- Uyku sorunları: Uykusuzluk, sık uyanma, uykuya dalma güçlüğü sabah dinlenmiş uyanmayı engeller.
- Stres: Günlük yaşam sorunları, kayıplar, iş ve aile içi gerilimler yorgunluğu artırır.
- Depresyon ve kaygı: MS’te çok yaygındır ve duygusal olduğu kadar fiziksel bitkinlik de yaratır.
- “Süper kahraman sendromu”: Kişinin, yorulduğu halde performansı yakalamak için daha da fazla efor harcayıp sonunda tamamen tükenmesi.
Bu alanlar, Yorgunluk Şiddet Ölçeği (YŞÖ) ve Modifiye Yorgunluk Etki Ölçeği (MYEÖ) gibi anketlerle ayrıntılı şekilde değerlendirilebilir. Gerekirse ek testler yapılır, başka uzmanlık alanlarına konsültasyon istenebilir.
MS’e bağlı olmayan yorgunluğun tedavisi
Test ve incelemeler başka bir hastalığı işaret ediyorsa, ilgili uzman tarafından tedavi planlanır. Sıcak havaya karşı soğutma teknikleri kullanılabilir, gereksiz ilaçlar gözden geçirilip düzenlenebilir, uyku sorunları için özel testler ve hedefe yönelik tedaviler uygulanabilir.
Stresle baş etme becerilerinin öğretilmesi, depresyon ve kaygının etkin tedavisi (antidepresanlar ve psikoterapi) yorgunluğun azalmasına önemli katkı sağlar. Tedavinin etkisini izlemek için MYEÖ gibi ölçeklerden yararlanılabilir.
Multipl sklerozla ilişkili yorgunluk türleri
- Hareket problemlerine bağlı yorgunluk: Bacak güçsüzlüğü ve hareket kısıtlılığı olan kişilerde, sıradan aktiviteler bile yoğun efor gerektirebilir.
- Solunum problemlerine bağlı yorgunluk: MS’in solunumu etkilemesi durumunda basit aktiviteler bile yorucu hale gelir; bu daha çok ileri bedensel sorunları olan hastalarda görülür.
- Temel (primer) MS yorgunluğu: Diğer tüm nedenler dışlandıktan sonra geriye kalan, doğrudan MS’in kendisiyle ilişkili yorgunluktur.
Hareket ve solunum problemlerinin yönetimi
Hareket ve solunuma bağlı yorgunlukta aşağıdaki özelliklerin değerlendirilmesi önemlidir:
- Kas gücü ve kas koordinasyonu,
- Kasların ne kadar sıkı, sert ya da esnek olduğu (spastisite),
- Yürüme şekli ve denge,
- Günlük yaşamda mobilizasyon (koltuk, yatak, tuvalet transferleri vb.),
- Kullanılan yardımcı cihazlar: baston, yürüteç, tekerlekli sandalye, scooter vb.
Bu değerlendirme sonucunda fizyoterapist, uygun egzersiz programı ve yardımcı ekipmanlarla enerjiyi daha verimli kullanmayı sağlayabilir. Kas gücünde ve esneklikte sağlanacak küçük iyileşmeler bile günlük aktiviteleri daha yönetilebilir hale getirir.
Spastisite için esneme egzersizleri ve ilaç tedavileri uygulanabilir; ancak spastisite ilaçlarının bazıları yorgunluğu artırabileceğinden mutlaka hekim gözetiminde kullanılmalıdır.
Primer MS yorgunluğu ve yaşam tarzı değişiklikleri
Tüm diğer nedenler dışlandıktan sonra geriye kalan primer MS yorgunluğu için hem yaşam tarzı düzenlemeleri hem de ilaç tedavileri devreye girer. Yaşam tarzı değişiklikleri çoğu zaman tedavinin en etkili ve güvenli basamağıdır.
Günlük yaşamda uygulanabilecek öneriler
- Doğal vücut ritminize göre gününüzü planlayın, en enerjik olduğunuz saatlere önemli işleri koyun.
- Uyku hijyenine dikkat edin; yatmadan önce ağır yemek, kafein ve ekran kullanımını azaltın.
- Serin sıvılar ve hafif kıyafetlerle vücut sıcaklığınızı kontrol altında tutun.
- Dengeli, az yağlı bir beslenme düzeni oluşturun; güne mutlaka kahvaltıyla başlayın.
- Sigara içiyorsanız bırakmaya çalışın; solunumu zorlaştırarak yorgunluğu artırır.
- Günlük aktiviteleri öncelik sırasına koyun, enerjinizi gerçekten önemli işler için saklayın.
- Fizyoterapist eşliğinde planlanmış hafif–orta şiddette egzersiz programı uygulayın.
- Gerektiğinde yardım isteyin; her işi tek başınıza yapmak zorunda değilsiniz.
Şekerleme: Kısa molaların gücü
Şekerleme, normal uyku yerine geçen bir gece uykusu değildir; gün içinde planlanan kısa dinlenme dönemleridir. Gece uykusunu bozmadığı sürece yorgun kasların toparlanmasına ve enerjinin yenilenmesine yardımcı olur.
- Gün içinde 1–3 kez, 10–30 dakikalık şekerlemeler yapılabilir; toplam süre 1–2 saati geçmemelidir.
- Ortam mümkün olduğunca sessiz ve loş olmalı; televizyon ve müzik kapatılmalıdır.
- Sıkı kıyafetler gevşetilmeli, ancak pijama giyilmeyerek “gece uykusu” algısı engellenmelidir.
İlaç tedavisi
Primer MS yorgunluğunu azaltmak için bazı ilaçlar kullanılabilir; ancak hiçbir ilaç yorgunluğu tamamen ortadan kaldırmaz ve herkes için aynı derecede etkili değildir. MS ile ilişkili yorgunluk tedavisinde en çok kullanılan ilaçlar amantadin ve modafinildir (Türkiye’de Modiodal, Modiwake ve PK-Merz gibi isimlerle bulunur). Bu ilaçlar yalnızca hekimin önerdiği doz ve sürede kullanılmalıdır.
Küçük çaplı çalışmalar, aspirinin bazı hastalarda yorgunluğu hafifletebileceğini düşündürmektedir. Uygun durumlarda antidepresanlar ve belirli uyarıcı ilaçlar da tedaviye eklenebilir. Tüm ilaçların olası yan etkileri ve diğer ilaçlarla etkileşimleri açısından hekimle ayrıntılı biçimde konuşulmalıdır.
Önemli: İlaç tedavisi sırasında herhangi bir sorun yaşarsanız, ilacı kendi kendinize kesmeyin; derhal doktorunuza haber verin. Bazı ilaçların güvenli biçimde bırakılabilmesi için dozun kademeli olarak azaltılması gerekir.
Enerjiyi etkinleştirme stratejileri ve egzersiz
Fizyoterapistle yapılacak ayrıntılı değerlendirme; genel fiziksel durum, yaşanılan çevre, kullanılan yardımcı cihazlar ve kalp–akciğer dayanıklılığı hakkında önemli bilgiler sağlar. Bu veriler sonucunda:
- Enerjiyi Etkinleştirme Stratejileri (EES) planlanabilir,
- Hastaya özel aerobik egzersiz programı oluşturulabilir,
- Gerekli durumlarda yardımcı ekipmanlar güncellenerek günlük görevler daha az eforla yapılabilir.
Aşırı egzersiz yorgunluğu artırabileceğinden, egzersiz programı mutlaka fizyoterapist ve hekimle birlikte planlanmalı, gerektiğinde yeniden gözden geçirilmelidir.
MS hastalarına son söz
Yaş ilerledikçe vücut da, MS’in seyri de değişebilir. Yorgunlukta belirgin artış fark ettiğinizde bunu “hastalığın doğal gidişi” diye kabullenmek zorunda değilsiniz. Hekiminizle tekrar görüşmek, yeni tedavi ve stratejileri gündeme getirmek için her zaman iyi bir nedendir. Tıpta ve MS tedavilerinde gelişmeler devam etmektedir; bugün mümkün olmayan bir seçenek, yarın erişilebilir hale gelebilir.
Multipl Skleroz Tanı Ölçütleri
Multipl skleroz (MS) tanısı, her zaman tek bir testle konulmaz. Klinik bulgular, nörolojik muayene, manyetik rezonans görüntüleme (MRG), beyin omurilik sıvısı (BOS) incelemeleri ve diğer paraklinik testler birlikte değerlendirilir. Zaman içinde Schumacher, Poser ve McDonald ölçütleri bu süreci yapılandırmak için geliştirilmiştir.
Schumacher Ölçütleri (1965)
Schumacher Komitesi (Schumacher et al., 1965) MS için ilk resmi tanı ölçütlerini tanımlamıştır. Bu ölçütler tamamen klinik bulgulara dayanır:
- Belirti ve bulguların 10–50 yaş arasında başlaması,
- Nörolojik muayenede objektif anormalliklerin saptanması,
- Bulgu ve belirtilerin santral sinir sistemi ak maddesinin etkilendiğini göstermesi,
- Lezyonların mekânda yayılması (en az iki ayrı lezyon),
- Lezyonların zamanda yayılması (en az 1 ay arayla iki atak),
- Tablonun daha iyi açıklanabileceği başka bir nedenin olmaması.
Poser Ölçütleri (1983)
Poser ve arkadaşları, MRG ve BOS incelemelerinin klinik tabloya eklenmesiyle klinik kesin, laboratuvar destekli kesin, klinik olası ve laboratuvar destekli olası MS kategorilerini tanımlamıştır (Poser et al., 1983).
| Tanı kategorisi |
Temel ölçütler (özet) |
| Klinik kesin MS |
- İki atak ve iki ayrı klinik lezyon varlığı, veya
- İki atak, bir klinik lezyon ve ayrı bir lezyona ait paraklinik kanıt bulunması.
|
| Laboratuvar destekli kesin MS |
- İki atak, bir lezyonun klinik ya da paraklinik kanıtı ve BOS’ta immünolojik bulgular, veya
- Bir atak, iki ayrı lezyonun klinik bulguları ve BOS’ta immünolojik bulgular, veya
- Bir atak, ayrı bir lezyonun klinik ya da paraklinik kanıtı ve BOS’ta immünolojik bulgular.
|
| Klinik olası MS |
- İki atak ve yalnızca bir lezyonun klinik kanıtı, veya
- Bir atak ve iki ayrı lezyonun klinik kanıtı, veya
- Bir atak, bir lezyonun klinik kanıtı ve diğer lezyon için paraklinik kanıt.
|
| Laboratuvar destekli olası MS |
- İki atak ve BOS’ta immünolojik bulgular, ancak klinik / paraklinik kanıtların kesin MS için yetersiz kalması.
|
Poser ölçütleriyle amaç; atak sayısı, klinik lezyonların sayısı, MRG ve uyarılmış potansiyel gibi paraklinik bulgular ve BOS’ta oligoklonal band (OKB) / IgG artışını bir arada değerlendirerek tanı güvenirliğini artırmaktır.
McDonald Ölçütleri 2001: Zaman ve mekânda yayılım
McDonald 2001 kriterleri, MS tanısında MRG bulgularını merkeze alarak zamanda yayılım ve mekânda yayılımı daha objektif hale getirmiştir.
MRG’de zamanda yayılım (2001)
- Yeni bir bölgede, ilk klinik olayın başlangıcından en az 3 ay sonra gadolinyum (Gd) tutan lezyonların saptanması, veya
- Eğer 3. ay MRG’sinde Gd tutan lezyon yoksa, daha sonraki takip MRG’de yeni Gd tutan lezyon veya yeni T2 lezyonlarının ortaya çıkması.
MRG’de mekânda yayılım (2001)
Aşağıdaki dört ölçütten en az üçünün pozitif olması istenir:
- ≥ 1 Gd tutan lezyon veya en az 9 T2 hiperintens lezyon,
- ≥ 1 infratentoriyal lezyon,
- ≥ 1 jukstakortikal lezyon,
- ≥ 3 periventriküler lezyon.
Bir spinal kord lezyonu, bir beyin lezyonuna eşdeğer kabul edilebilir ve gerekli T2 lezyon sayısına ulaşmak için beyin ve spinal lezyon sayıları birlikte değerlendirilebilir.
McDonald 2005 Revizyonu
2005 revizyonu, özellikle spinal kord lezyonlarının değerlendirilmesini ayrıntılandırmış, yine dört mekân kriterinden üçünün pozitif olması kuralını korumuştur.
MRG’de mekânda yayılım (2005)
- ≥ 1 Gd tutan lezyon veya en az 9 T2 hiperintens lezyon,
- ≥ 1 infratentoriyal lezyon,
- ≥ 1 jukstakortikal lezyon,
- ≥ 3 periventriküler lezyon.
Ek olarak:
- Bir spinal kord lezyonu, bir infratentoriyal lezyona eşdeğer kabul edilebilir.
- Kontrast tutan spinal kord lezyonu, kontrast tutan beyin lezyonuna eşdeğer kabul edilir.
- Toplam T2 lezyon sayısını hesaplarken beyin ve spinal lezyonlar birlikte değerlendirilir.
MRG’de zamanda yayılım (2005)
- Yeni bir bölgede, ilk klinik olayın başlangıcından en az 3 ay sonra Gd tutan lezyon saptanması, veya
- İlk klinik olaydan en az 30 gün sonra çekilen MRG’de, referans MRG’ye göre herhangi bir zamanda ortaya çıkan yeni T2 lezyonunun gösterilmesi.
McDonald 2010 Kriterleri
2010 kriterleriyle, MRG bulgularının tanıda daha erken ve esnek biçimde kullanılabilmesi amaçlanmıştır. Özellikle klinik izole sendrom (KİS) olgularında, ilk klinik olaydan kısa süre sonra MS tanısına yaklaşmayı mümkün kılmıştır.
MRG’de mekânda yayılım (2010)
Aşağıdaki dört bölgenin en az ikisinde bir veya daha fazla T2 lezyonu gösterilmelidir:
- Periventriküler,
- Jukstakortikal,
- İnfratentoriyal,
- Spinal kord.
Eğer hasta beyin sapı veya spinal sendromla başvuruyorsa, semptomatik bölgedeki lezyonlar lezyon sayımına dahil edilmez; yalnızca diğer bölgelerdeki lezyonlar mekânda yayılım kriteri için değerlendirilir.
MRG’de zamanda yayılım (2010)
- İlk MRG’nin çekildiği zamandan bağımsız olarak, takip MRG’de yeni T2 ve/veya Gd tutan lezyon veya lezyonların gösterilmesi, veya
- Herhangi bir zamanda çekilen tek bir MRG’de, hem kontrast tutan hem de tutmayan lezyonların birlikte gösterilmesi.
McDonald 2001: Periventriküler ve jukstakortikal lezyon örnekleri.
McDonald 2005: İnfratentoriyal ve spinal lezyonların birlikte değerlendirilmesi.
McDonald 2010: Dört tipik bölgeden en az ikisinde T2 lezyonu.
Zamanda yayılım: Takip MRG’de yeni T2 ve/veya Gd tutan lezyonlar.
Özetle, modern MS tanı yaklaşımı; zaman ve mekânda yayılım prensibini koruyarak, klinik tabloyu MRG ve BOS bulgularıyla destekler. Amaç, bir yandan erken ve doğru tanıya ulaşmak, diğer yandan da MS’i taklit edebilecek diğer hastalıkları güvenilir biçimde dışlamaktır.
Multipl Skleroz'da Kortikosteroidler
Multipl skleroz (MS) santral sinir sisteminin immün aracılı bir hastalığıdır. Genetik eğilimi olan kişilerde çevresel etmenlerin etkisiyle hastalığın ortaya çıktığı kabul edilir. Hastalık genellikle (%80–90) subakut gelişimli ataklar ve düzelmelerle seyreder (relapsing remitting MS – RRMS). Baştan itibaren sinsi biçimde ilerleyen form (primer progresif MS – PPMS) ise daha az olmak üzere (%10–20) görülür. Hastalığın patolojik karakteristiğinde ak maddenin fokal enflamatuvar demyelinizasyonu ve olasılıkla ikincil aksonal hasar bulunur; santral ve kortikal gri madde de tutulur.
Tanı, dikkatli öykü alma ve nörolojik bakıya; paraklinik testlerin de katkısıyla hastalığın zamanda ve mekânda yayılımını göstermeye dayanır. Hastalığı tamamen ortadan kaldıran bir tedavi yoktur. Tedavi stratejisi; atakları tedavi etmek, atakları önlemek ve engellilik progresyonunu yavaşlatmak üzerine kuruludur. Atakların tedavisinde kortikotropin (adrenokortikotropik hormon – ACTH) ya da kortikosteroidler 1950’lerin başlarından beri kullanılmaktadır.
Bu tedavilerin, atağın düzelme hızını artırdığı gösterilmiş olmakla birlikte yeni atakları önleme ve uzun süreli engelliliği azaltma üzerindeki etkisi tam olarak gösterilememiştir. Bununla birlikte, metilprednizolonun uzun dönem etkisine ilişkin kanıtlar, olası bir immünomodülatör etkiye işaret etmektedir.
Akut atakta uygulanan yüksek doz IV metilprednizolon (IVMP) protokolleri.
Gd tutan aktif lezyonların kortikosteroid tedavisi öncesi ve sonrası görüntüleri.
Kortikosteroidlerin immün ve enflamatuvar yanıt üzerindeki temel etkileri.
Atak Tedavisi
Relapslar, RRMS’in baskın klinik özelliğidir ve sekonder progresif MS’in (SPMS) erken dönemlerinde de görülebilir. Relapsların başlangıcı genellikle subakuttur. Santral sinir sisteminde yeni bir tutulum ya da daha önce ortaya çıkmış olan bir belirti ya da bulgunun yinelenmesi şeklinde olabilir ve en az 24 saat sürmelidir. Trigeminal nevralji gibi paroksismal semptomların rekürrent epizodları da atağa işaret edebilir. Beden sıcaklığındaki artışa bağlı olarak ortaya çıkan yalancı atakların dışlanması gerekir.
Etkinlik
Kortikotropin ve kortikosteroidler MS ataklarının tedavisinde yaklaşık 60 yıldır kullanılmaktadır. 1950’lerin başlarında MS’te kortikotropin kullanımına ilişkin çok sayıda olgu bildirimi yapılmıştır. Bunu izleyen randomize, plasebo kontrollü çalışmalarda; kortikotropin alan hastalarda relapsın daha hızlı düzeldiği, ancak uzun dönem yarar etkisinin olmadığı gösterilmiştir.
Kortikotropinler, adrenokortikal hücrelerden başta kortizol olmak üzere kortikosteroid sentezini indükler. Gerek öngörülemeyen kortizol yanıtı gerekse kortikotropinlerin intramüsküler enjeksiyon biçiminde uygulanma gereği, oral ya da intravenöz (IV) kortikosteroid verilmesini hedefleyen çalışmaların yapılmasına neden olmuştur. Randomize kontrollü dört çalışmadan üçü IV, biri oral metilprednizolon (MP) kullanımı ile yapılmıştır.
Bu dört çalışmanın sonuçları; MP’nin relapsların düzelme hızını artırdığını, fakat düzelmenin derecesi, sonraki relaps riski ve engellilik üzerine uzun süreli etkisinin sınırlı olduğunu göstermiştir. Alt grup analizlerinde; daha şiddetli atağı olan, BOS’ta yüksek myelin basic protein (MBP) konsantrasyonu bulunan ve başlangıç MRG’sinde Gd tutulumlu lezyonu olan hastalarda daha iyi tedavi yanıtı saptanmıştır.
Kortikotropin mi, Kortikosteroid mi?
Metilprednizolon ile kortikotropinlerin karşılaştırıldığı çalışmalarda, relapsların düzelmesinde anlamlı fark saptanmamış olsa da MP ile tedavi edilen hastalarda daha hızlı düzelme olduğuna ilişkin kanıtlar bulunmaktadır. Bu nedenle bir Cochrane derlemesi, kısa süreli yüksek doz IV MP’nin, intramüsküler kortikotropinlere tercih edilmesini önermektedir.
Kimi küçük çalışmalarda MP ile deksametazon (antienflamatuvar etkisi 5–6 kat fazla olan sentetik kortikosteroid) karşılaştırılmış; bir çalışmada oral deksametazon ile oral MP arasında anlamlı fark saptanmamıştır.
Doz ve Verilme Yolu
IV MP’nin farklı dozlarını karşılaştıran üç çalışmada; 5 gün 1000 mg IV MP alan hastalarda tek gün alanlara kıyasla düzelme anlamlı derecede daha iyi bulunmuştur. Diğer çalışmalarda ise 5 gün 2000 mg IV MP’nin 500 mg IV MP’ye göre Gd tutan lezyon sayısını daha fazla azalttığı; yüksek doz gruplarında 30. ve 60. günlerde yeni Gd tutan lezyon sayısının daha az olduğu gösterilmiştir.
Oral ve IV MP’nin karşılaştırıldığı çalışmalarda, 5 gün 500 mg oral ve IV MP arasında kısa dönemde fark saptanmamış; uzun dönem izlemde de bazı protokollerde ilk 24 hafta içerisinde anlamlı fark gösterilememiştir. Klinik pratikte, yüksek doz kısa süreli IV MP atak tedavisinde sık kullanılan yaklaşımdır.
Kısa Süreli Yüksek Doz MP Sonrası Oral Azaltma
IV pulse MP sonrası oral steroid ile devam tedavisi tartışmalı olup, mevcut veriler sınırlıdır. Plasebo kontrollü çalışmalarda 10 günlük oral MP azaltması ya da 15 günlük IV MP azaltması gibi farklı protokoller kullanılmıştır. Bir retrospektif çalışmada, oral azaltma alan ve almayan hastalar arasında bir yıllık uzun dönem etki açısından fark saptanmamıştır.
MRG verileri; IV MP sonrası Gd tutulumunun hızla azaldığını, tedavinin kesilmesinden kısa süre sonra yeniden Gd tutulumu olabileceğini göstermiştir. Bazı çalışmalarda oral azaltma yapılan hastalarda beyin volümünde daha fazla azalma saptanmış; deneysel hayvan çalışmalarında ise kortikosteroidin ani kesilmesinin atağı tetikleyebileceği, 14 günlük azaltma yapılan grupta ise bu etkinin görülmediği bildirilmiştir.
Etki Mekanizması
Kortikosteroidler potent antienflamatuvar ve immünosupresif etkiye sahiptir. Plazma düzeylerinin %90–95’i kortikosteroid bağlayan albümin ve globüline bağlıdır. Karaciğerde metabolize olur; plazma yarılanma ömrü 60–90 dakika iken, biyolojik yarılanma ömrü 24 saate kadar uzayabilir.
Olası etki mekanizmaları şunları içerir:
- Ödemin azaltılması (MRG ile gösterilebilir),
- Kan–beyin bariyerinin geçirgenliğinin azaltılması,
- İyon kanal aktivitesi üzerine etkiler,
- İntratekal immünolojik etkileşimlerin modülasyonu,
- Matriks metalloproteinazların BOS’ta azalması ve doku inhibitörlerinin artması,
- BOS’ta T hücre aktivasyonunun azalması,
- İmmünglobulin sentezinin azalması,
- Transforming growth factor-β düzeyinin artması,
- Proenflamatuvar sitokin ekspresyonunun azalması,
- T hücre apoptozunun indüklenmesi,
- Adezyon molekülleri ve HLA sınıf II moleküllerinin ekspresyonunda azalma.
Etkileşimler ve Yan Etkiler
Kortikosteroidler warfarin ile etkileşebilir; enzim indükleyen antiepileptiklerin (fenitoin, karbamazepin) etkilerini azaltabilir. Enzim inhibe eden ilaçlar (valproik asit, kalsiyum kanal blokerleri, eritromisin) kortikosteroid metabolizmasını etkileyerek toksisiteyi artırabilir.
IV ve oral MP uygulamaları arasında belirgin bir yan etki farkı bildirilmemekle birlikte, uzun süreli oral tedavinin yan etki sıklığını artırdığı kabul edilir. Tedavi genellikle iyi tolere edilir.
Tipik yan etkiler:
- Glukoz metabolizmasında etkilenme,
- Dispepsi, konstipasyon,
- Emosyonel labilite (öfori, depresyon, irritabilite, seyrek psikoz),
- Fasiyal flushing, tat almada bozulma, insomni,
- Hipertansiyon, ılımlı kilo değişiklikleri,
- Osteoporoz riskinde artış (özellikle yinelenen tedavilerde).
Dispepsi ve hipertansiyon öyküsü olan hastalar monitörize edilmeli; diyabeti olan hastalar dikkatle izlenmelidir. Klinik pratikte, yılda 4–5 kez IV MP ile atak tedavisi genellikle güvenli kabul edilir; ancak bu düzeyde atak sıklığında, immünomodülatör veya immünosüpresif tedavi başlanması düşünülmelidir.
Gebelik, Emzirme ve Çocuklarda Tedavi
Kortikosteroidler, gebeliğin erken dönemlerinde yarık damak ve yarık dudak riskinde artışla ilişkilendirilmiştir. Bu nedenle gebeliğin ilk dönemlerinde, elde edilecek yarar olası sakıncaları aştığı durumda kullanılmaları önerilir. MP anne sütüne geçer; bu nedenle yüksek doz kortikosteroid kullanımı sırasında emzirilmemelidir.
Ciddi ataklarda anne, infüzyon sırasında ve infüzyondan sonraki 3–4 saat boyunca üretilen sütü sağmalı ve atmalı; sonrasında emzirmeye devam etmelidir.
Ciddi atak geçiren çocuk MS olgularında, 30 mg/kg/gün (en fazla 1000 mg/gün) IV MP tedavisi önerilmektedir. Bu tedavinin 3 gün sürdürülmesi ve ardından 1 mg/kg/gün oral azaltma ile toplam 12 güne tamamlama protokolleri kullanılmaktadır.
Atak Şiddeti ve Tedavi Zamanlaması
Çoğu atak az ya da çok kendiliğinden düzelme eğilimi gösterse de, tam olmayan remisyon geri dönüşsüz santral sinir sistemi hasarı ve engellilik progresyonunun önemli nedenlerinden biridir. Bu nedenle tüm atakların tedavi edilmesi önerilir.
Tedavinin etkisinin temel olarak düzelmenin hızını artırması; yeni atakları önleme ve uzun süreli engellilik üzerindeki etkisinin sınırlı olması nedeniyle, klinikte genellikle orta/ağır engellilik oluşturan atakların tedavi edilmesi eğilimi vardır. Deneysel hayvan modelleri, erken dönem tedavinin aksonal hasarı önlemede etkili olabileceğini gösterse de, klinik pratiğe doğrudan yansımış net veri bulunmamaktadır. Yine de orta/ağır atakların mümkün olduğu kadar erken tedavi edilmesi önerilir.
Optik Nevrit Tedavisi
Kuzey Amerika Optik Nevrit Tedavi Çalışması’nda 457 optik nevrit (ON) hastası üç gruba randomize edilmiştir: 3 gün boyunca 1000 mg IV MP ardından 11 günlük oral prednizon azaltması yapılan grup, 14 gün boyunca 1 mg/kg/gün oral prednizon grubu ve plasebo grubu.
IV MP alan hastalar, plasebo grubuna göre birinci ay sonunda daha hızlı düzelme göstermiş, ancak bir yıl sonunda gruplar arasında belirgin fark kalmamıştır. Oral prednizonun ise tek başına anlamlı etkisi gösterilememiştir. Başka bir çalışmada 5 gün 500 mg/gün oral steroid ardından 18 günlük azaltma protokolü ile plasebo karşılaştırılmış; görme işlevinin ilk hafta içinde daha hızlı düzeldiği, ancak 8. hafta sonunda kalıcı fark olmadığı gösterilmiştir.
Sonuç olarak; kortikosteroidler, MS atağının erken dönemde kontrol altına alınması, iyileşmenin hızlandırılması ve aktif enflamasyonun baskılanmasında temel tedavilerden biridir. Tedavi kararı verilirken, yarar–risk dengesi, hastanın klinik durumu, eşlik eden hastalıklar, gebelik/emzirme durumu ve uzun dönem tedavi stratejisi birlikte değerlendirilmelidir.
MS tanı ve tedavi sürecinizde yalnız değilsiniz
Multipl sklerozun tanı, takip ve tedavi seçenekleri hakkında daha fazla bilgi almak, aklınızdaki soruları uzman ekiple paylaşmak ya da eğitim materyallerine erişmek için bizimle iletişime geçebilirsiniz. Sağlık profesyonelleri ve MS’liler için hazırlanmış bilimsel içerik ve güncel duyurular düzenli olarak güncellenmektedir.